
Centar za zdravlje žene
U suvremeno opremljenoj ambulanti ginekologije i opstetricije obavite preventivne i dijagnostičko-terapijske preglede radi očuvanja svog zdravlja.
Usluge Centra za zdravlje žene su:
- Klinički ginekološki pregled
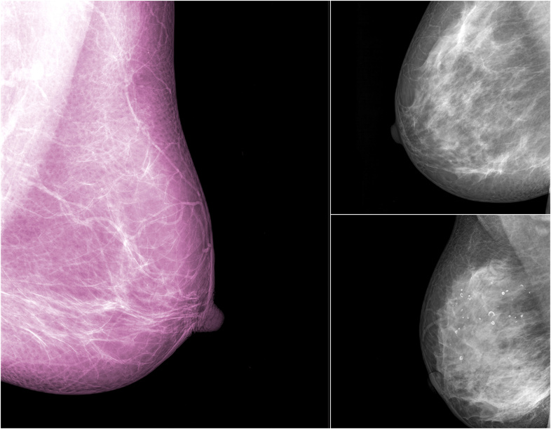
- Pregled dojki
- Dijagnostika i liječenje ginekoloških problema u adolescenciji
- Dijagnostika i liječenje promjena vrata maternice (PAPA test, HPV tipizacija)
- Uzimanje cervikalnih briseva na klamidiju, ureaplazme, mikoplazme, aerobne i anaerobne bakterije
- Ginekološka endokrinologija,: dijagnoza i liječenje nepravilnosti menstrualnog ciklusa
- Planiranje obitelji: obrada prije započinjanja i odabir adekvatnog oblika kontracepcije (individualni pristup svakoj pacijentici)
- Obrada i liječenje neplodnosti (uz standardnu obradu folikulometrija i dijagnoza i terapija endometrioze)
- Rana dijagnostika trudnoće (β HCG, ultrazvuk)
- Praćenje normalne i rizične trudnoće (“mini anomaly scan” i “anomaly scan”, 4D ultrazvuk, color doppler)
- Obrada i liječenje žena u menopauzi (menopauzalne tegobe, hormonsko nadomjesno liječenje, prevencija i liječenje osteoporoze, dijagnoza i liječenje blažih oblika poremećene statike genitalnih organa)
- Drugo mišljenje (second opinion)
- Ultrazvučna dijagnostika: ginekološki UZV, pregled color dopplerom , UZV u trudnoći
(3D/4D UZV ), UZV dojki - Radiološka dijagnostika: MR dojki
- Laboratorijska obrada (tumorski markeri, hormonski status; β HCG)











